Vremea capricioasă a determinat o creştere uşoară a cazurilor de pneumonii

0

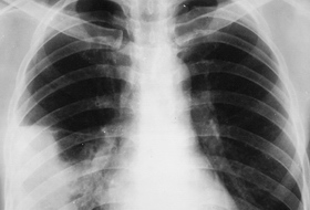
Din evidenţele Direcţiei Judeţene de Sănătate Publică, în prima săptămană a lunii s-au înregistrat peste cinci sute de cazuri de infecţii acute respiratorii, dintre care 30 de persoane au necesitat internare.
Purtătorul de cuvant al Direcţiei de Sănătate Publică Ialomiţa, Mihaela Dumitrescu, spune că deşi numărul de viroze a scăzut, incidenţa pneumoniilor a crescut uşor în acestă perioadă.
Medicii atrag atenţia în această perioadă a anului asupra pufului şi polenului din atmosferă şi recomandă persoanelor alergice să evite expunerea îndelungată în aer liber.
Alexandra Alexe, www.radiocampus.ro

Lăsați un mesaj

Acest site folosește Akismet pentru a reduce spamul. Află cum sunt procesate datele comentariilor tale.